Beautiful Morning Glory Flower Radiology 17+

Morning Glory Flower Radiology Case Radiopaedia Org

Morning Glory Flower Radiology Case Radiopaedia Org

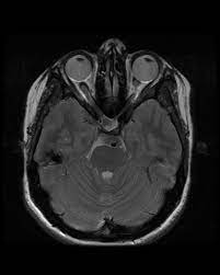
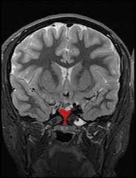
Morning Glory Sign Midbrain Radiology Reference Article Radiopaedia Org

Morning Glory Sign Midbrain Radiology Reference Article Radiopaedia Org

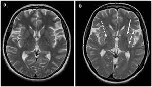
Humming Bird Sign Mickey Mouse Sign And Morning Glory Sign In Progressive Supranuclear Palsy Jalal Ma Menon Mk Menoufia Med J

Humming Bird Sign Mickey Mouse Sign And Morning Glory Sign In Progressive Supranuclear Palsy Jalal Ma Menon Mk Menoufia Med J

Ultimate Radiology Hummingbird And Morning Glory Of Radiology

Ultimate Radiology Hummingbird And Morning Glory Of Radiology

Ultimate Radiology Hummingbird And Morning Glory Of Radiology

Ultimate Radiology Hummingbird And Morning Glory Of Radiology

Pdf Humming Bird Sign Mickey Mouse Sign And Morning Glory Sign In Progressive Supranuclear Palsy

Pdf Humming Bird Sign Mickey Mouse Sign And Morning Glory Sign In Progressive Supranuclear Palsy

Pdf Humming Bird Sign Mickey Mouse Sign And Morning Glory Sign In Progressive Supranuclear Palsy

For example it can not only mean unrequited love or love that.

morning glory flower radiology. Morning glory syndrome MGS is a congenital optic nerve anomaly termed by its resemblance of the malformed optic nerve to the morning glory flower. This fast grower grows up to 10 feet in one season. Feb 07 2021 Morning Glory.

Their trumpet shaped flowers bloom in vibrant shades of purple blue red pink and white which attract hummingbirds and butterflies. Trumpet-shaped purple flowers open in the morning and close in the afternoon which is what gives morning glories their common name. Morning glories bloom from early summer to the first frost of fall.

The brightly colored trumpet-shaped flowers have a slight fragrance and are popular with butterflies and hummingbirds. 6205 Kate Road Monroe NC 28110. Morning glory disc anomaly is characterised by an enlarged funnel-shaped excavation in the optic disc with peripapillary chorioretinal pigmentary changes and overlying central white glial tuft.

Convolvulaceae - Morning-glory family. Graphically this is identified on an axial image at the level of the midbrain by drawing 1. These old-fashioned favorites love to climb.

Blooming usually occurs anywhere from May through September opening in the morning and closing in the afternoon. The vines with their characteristic trumpet-shaped blooms can grow more than 10 feet in a single season. Mar 25 2021 All morning glory plants produce attractive funnel-shaped blossoms of various shades like white red blue purple and yellow with heart-shaped leaves.

Wild Potato Vine Man of the Earth Wild Sweet Potato Bigroot Morning Glory Ipomoea pandurata Native Family. 2020 Site Design Heather Payne. This meaning can vary depending on the color of the flower as well as from which cultural lens you are viewing the flower.

Morning Glory Syndrome Radiology Case Radiopaedia Org

Morning Glory Syndrome Radiology Case Radiopaedia Org

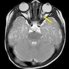
Morning Glory Syndrome Eye Radiology Reference Article Radiopaedia Org

Morning Glory Syndrome Eye Radiology Reference Article Radiopaedia Org

Morning Glory Syndrome Eye Radiology Reference Article Radiopaedia Org

Morning Glory Syndrome Eye Radiology Reference Article Radiopaedia Org

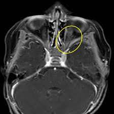
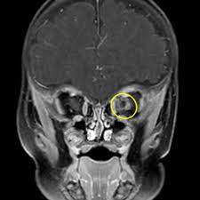
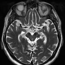
Morning Glory Disc Anomaly Eurorad

Morning Glory Disc Anomaly Eurorad

Morning Glory Syndrome Radiology Case Radiopaedia Org

Morning Glory Syndrome Radiology Case Radiopaedia Org

Ultimate Radiology Hummingbird And Morning Glory Of Radiology

Ultimate Radiology Hummingbird And Morning Glory Of Radiology

Ultimate Radiology Hummingbird And Morning Glory Of Radiology

Ultimate Radiology Hummingbird And Morning Glory Of Radiology

Ultimate Radiology Hummingbird And Morning Glory Of Radiology

Ultimate Radiology Hummingbird And Morning Glory Of Radiology

Humming Bird Sign Mickey Mouse Sign And Morning Glory Sign In Progressive Supranuclear Palsy Jalal Ma Menon Mk Menoufia Med J

Humming Bird Sign Mickey Mouse Sign And Morning Glory Sign In Progressive Supranuclear Palsy Jalal Ma Menon Mk Menoufia Med J

Morning Glory Disc Anomaly Eurorad

Morning Glory Disc Anomaly Eurorad

Morning Glory Syndrome With Moyamoya Disease A Rare Association With Role Of Imaging Abstract Europe Pmc

Morning Glory Syndrome With Moyamoya Disease A Rare Association With Role Of Imaging Abstract Europe Pmc

Https Casereports Bmj Com Content Bmjcr 14 1 E237462 Full Pdf

Https Casereports Bmj Com Content Bmjcr 14 1 E237462 Full Pdf

Morning Glory Disc Anomaly Eurorad

Morning Glory Disc Anomaly Eurorad

Structural Mri In Idiopathic Parkinson Disease And Parkinsonism Radiology Key

Structural Mri In Idiopathic Parkinson Disease And Parkinsonism Radiology Key

Source : pinterest.com
javascript hit counter